See What a New Smile
Can Do
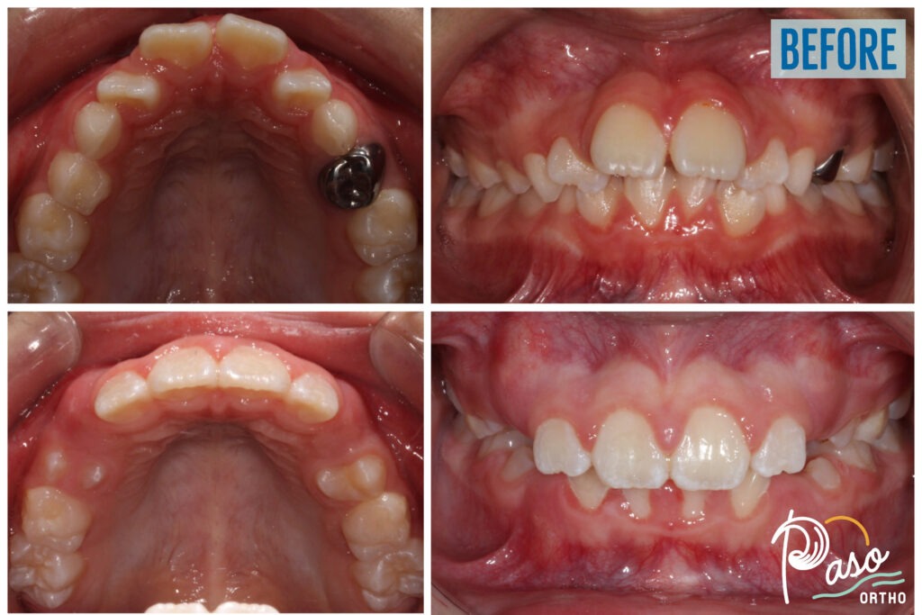
Here are real before-and-after photos crafted by Dr. Laura and Dr. Ross Pulver at North County Orthodontics. Using Damon Ultima metal braces, LightForce clear braces, Spark clear aligners, and airway-friendly expanders, North County Orthodontics helps kids, teens, and adults across Paso Robles and Atascadero get confident, healthy smiles.








